
When you begin down the path to receiving orthodontic treatment, some initial first steps have unpleasant elements. Receiving traditional imaging was among those unpleasant experiences. While the process was quick, no one looked forward to biting down on those dental plates that dug into cheek and gum. When that was over, you’d usually have to get a dental impression as well. This was, yet again, an unpleasant experience combining dental trays and unpleasant tasting goop. In the best cases, you’d merely have an unpleasant pressure on your gums and lingering aftertaste. In the worst, you were one of those poor souls whose gag reflex couldn’t tolerate the presence of either.
How Orthodontics Benefit From Digital Impressions
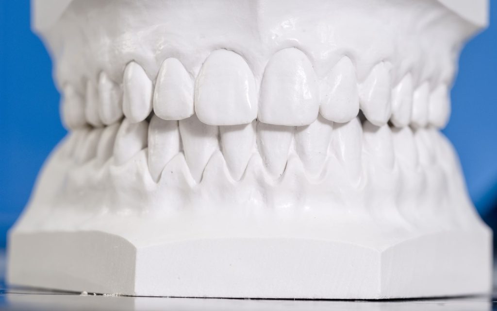
As unpleasant as the experience was, there was no getting around the dental impression. They are a vital part of planning orthodontic treatment and getting a good look at the state of your mouth. The ultimate goal in receiving a dental impression was to provide a true-to-life 3D model of the oral cavity. While these physical impressions did an adequate job of generating this image, they weren’t without flaws. Modern impression techniques have improved significantly, eliminating discomfort, mess, and imperfections in one go.
This improvement was accomplished by developing better scanners capable of generating nearly flawless imaging of your oral cavity. The intraoral scanner is one tool used to generate these images. This scanner focuses on the visible elements of your oral structures, taking thousands of pictures that get stitched together into one 3D image.
CRCT systems serve a similar role; only they focus on creating 3D images of your hidden bony oral structures. Both of these systems create images that are nearly flawless recreations of your living oral cavity and orofacial structures. They can be viewed using imaging software and even printed out using a 3D printer for a more personal viewing experience. Your dental care will benefit from your practitioner making use of the many benefits of this type of imaging, including:
- Superior accuracy to bite-down impressions
- Visualization of your oral cavity and structures in full 3D
- Unparalleled precision
- Permits 3D printing of your oral structures
- Eliminates foul taste, discomfort, and mess
- Superior procedure planning potential
These points above are just a few of the benefits that come with using digital impressions in your dental care. They can also be stored and transmitted digitally, meaning your dentist can provide you with your copy. They can also provide copies to any necessary specialists without losing access to the original file.
Your Dental Provider Educate You About 3D Imaging
The results you receive when using 3D imaging will be superior to those you receive using traditional imaging. From diagnosis and planning to executing the procedure, every step of the process will be made easier. This is especially true in cases where restoration or implants are being performed. Knowing what the structures that will be modified look like helps produce better restorations. Contact your dentist to learn more.
