Blog
What Being Lip-Tied or Tongue-Tied Means For Children
Parents may become frustrated with kids struggling to move their lips, communicate, or eat. Your kid may be tongue- or lip-tied if they have these issues. A juvenile oral surgeon can, however, effectively manage these problems. We at BlueJay Family Dental in Council...
Is It A Tooth Ache Or Trigeminal Neuralgia?
Every year some people experience unexpected shooting pains in their face or jaw. Many of these individuals may suspect that the origin of this electrical shock-like pain is a toothache. However, for some of these patients, the actual culprit is Trigeminal Neuralgia....
Achieving Better Oral Health With Family Dentistry
Family dentists offer various treatments to prevent or treat many prevalent oral health issues. The shape of your lips can significantly influence your smile's appearance. You could experience pain or lose teeth if you don't care for them. The first step in...
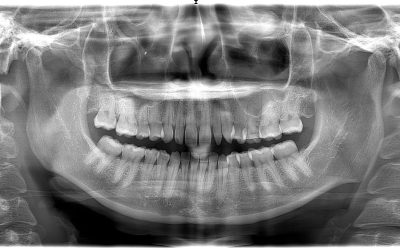
When To See Dentist, Endodontist, Periodontist, or Oral Surgeon
If you need surgery on your mouth, you might be curious about what specialist you'll need to see. The type of provider you need depends on the surgery you'll get. There are numerous differences between an endodontist and an oral surgeon, and knowing those differences...
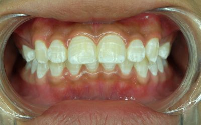
Why Invisalign is Preferred Over Traditional Braces
Whether they’re for you or your child, many options exist to improve your smile. You’re not alone if you have misaligned teeth that prevent you from smiling. The idea of wearing braces can prevent many people from taking steps to correct their misaligned teeth. Modern...
Peg laterals And How Dentist’s Can Treat Them
Our central incisors are located at the front and center of our smile, with the lateral incisors next to them. Their flat, narrow shape allows them to cut through food with ease, while their location makes them a central component of our smile's appearance. Sometimes...
Differences Between a Dentist and Dental Hygienist
Our teeth are among some of the essential parts of our bodies. They allow us to chew our food and articulate our speech. Most at-home methods of dental care will provide the necessary means to keep our teeth healthy, but in instances where these methods don’t work, we...
Natural Ingredients In Environmentally Safe Toothpaste
For most of us, the morning starts with a dental hygiene routine that involves brushing and flossing. It often starts by placing toothpaste on a toothbrush and a couple of minutes of thorough brushing to ensure the best coverage. Americans are growing increasingly...
Emotional Dentisry: What Is It and How It Helps Patients With Dental Care
Concerns about our appearance have been around for millennia. We tend to pay special attention to our teeth when smiling or brushing them. We may notice a misaligned tooth or that our gums are more prominent than our teeth and wish to change it. This wish is further...
What Is Smile Dysmorphia And How It Affects Dentistry
Over the years, people have always had a concern about their self-image. From the Victorians with their eccentric dresses, suits, and makeup to the modern model with a slim form or a modern bodybuilder with a muscular and toned body. With the invention of the...
How To Promote Your Child’s Oral Hygiene Habits
As our children develop throughout childhood, we must protect their oral health. Even before their first tooth appears, the healthcare steps we take are influencing their future oral health. After the primary teeth have arrived, optimal adult dental health requires...
What Dentists Watch For That Indicates Oral Cancer
During every visit to your dental provider, they check for various oral health concerns. They start with the usual suspects, tooth decay and gum disease. From there, they look for a life-threatening condition known as oral cancer. While they typically only mention...
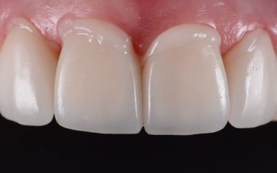
How Cosmetic Dentists Improve Tooth Sizes and Your Smile
Cosmetic dentistry plays a role in nearly every aspect of oral health care. This field of dentistry is involved in far more than just improving the appearance of our smiles. Before cosmetic treatments are performed, you must complete an assessment of your oral health....
Identifying Tooth Decay Before It Becomes A Cavity
Our childhood is an important time for us emotionally, mentally, and physically. We're working at understanding the world and growing into the adults we want to be. Just as our mental and emotional development has a lasting impact on how we approach the world, our...
How Braces Help Improve Oral Health and Appearance
In recent years patient education has been a central focus of health care. Gone are the days when patients simply accept what their doctors say without question. Today those seeking healthcare are invested in the results and want to ensure they understand the...
How CBCT Technology Changes How Dentists Plan Treatment
Dentists everywhere are dedicated to ensuring that they provide the most effective care for their patients possible. This is no mere case of altruism. In addition to producing results they can be proud of, patients return to dentists they trust with their oral health....
Reducing Age-Related Risks To Oral Health
It's well known that aging brings with it a variety of health concerns. However, many of these health concerns can be avoided or mitigated. One example is oral health concerns. Some changes inevitably happen within our oral cavity as we age. However, with consistent...
How The Dental Laser Is Breaking The Dental Drill Paradigm
There are two cornerstones to ensuring oral health remains positive throughout your life. The first is maintaining a solid regimen of brushing, flossing, and using mouthwash as part of a dental hygiene routine. The second is ensuring you see your dentist at least...
The Finer Points of Conservative Cosmetic Care
Preventative care remains the leading reason that people visit their dentist for care. However, the second most popular reason remains to receive cosmetic treatments. There has been a growing trend of dental patients consuming more significant amounts of cosmetic care...
Three Tools In The Endodontic Toolkit
Despite their reputation, root canals are a pretty standard procedure in dentistry. The practice itself is rather straightforward and has stood the test of time. Modern dentistry has made the procedure practically painless thanks to new technology and materials. The...
Techniques To Ease Orthodontic Discomfort After Your Treatment
Considering undergoing orthodontic treatment can be somewhat intimidating. There are more types of orthodontic appliance available to the average patient today than there has been in the past. One of the most frequently requested options today is the clear aligner....
Asymptomatic Children and Covid-19: What You Should Know
There aren't many diseases that have received the attention that COVID-19 has received from the medical community. Even fewer have been the subject of such intense and immediate study to prevent its spread. COVID-19 was the source of many landmarks in medical science,...
The Top Aesthetic and Restorative Products Used By Dentists
Your dentist understands that getting the best possible results requires using tried and tested materials and tools. When they get ready to perform restorative or cosmetic dental services, they start by selecting the proper products. Like any artist or craftsman, they...
Mastering Irrigation Techniques in The Endodontic Field
Flushing out decay, infection, and debris, known as irrigation, is essential for endodontic treatment. Multiple elements govern the effectiveness of this process. These include the skill of the dentist and the equipment being used. The more thorough this process is,...
How Teleorthodontics Benefits Clinics and Patients
There has been an ongoing trend in the medical field of embracing the digital options available for delivering care. The COVID-19 pandemic contributed to pushing this movement a great deal, but it was in motion before its arrival. Telehealth services have been...
Choosing A Dentist For Your Children
If you have a growing family, you may be wondering if you need to consider a pediatric dental specialist for your child. The good news is that your family dentist is more than capable of providing the necessary care for your child. They’ve been trained in addressing...
How Orthodontics Benefit From Digital Impressions
When you begin down the path to receiving orthodontic treatment, some initial first steps have unpleasant elements. Receiving traditional imaging was among those unpleasant experiences. While the process was quick, no one looked forward to biting down on those dental...
How Multiple Disciplines in Dentistry Produce Better Outcomes
Finding ways to restore teeth to health takes a considerable amount of skill and effort. Most restoration treatments focus on tackling simple tooth problems that can be easily managed for the patient's wellbeing in general dentistry. Still, when tackling more complex...
The Importance of Orthodontic Anchorage In Dental Adjustments
When we think of receiving orthodontic care, the first thing that comes to mind is braces. For those following recent orthodontic trends, clear aligners may also occur to them. However, the process of adjusting the position and placement of your teeth is a complex...
The Role Of Genetics In Oral Health
Studies have demonstrated that those who have a family history of poor dental health are likely to experience oral health issues themselves. While not all aspects of oral health are inherited, this research has demonstrated that it plays a distinct role. Our family...
Bluejay Family Dental
1860 Madison Ave, Suite 4
Council Bluffs, IA 51503
(712) 256-6263
Mon – Thurs 7:00 AM – 5:00 PM
Fri 7:00AM – 12:00 PM
Saturday – Sunday Closed
Closed for lunch 12:00 PM – 1:00 PM






























