Preventative care remains the leading reason that people visit their dentist for care. However, the second most popular reason remains to receive cosmetic treatments. There has been a growing trend of dental patients consuming more significant amounts of cosmetic care options in clinics worldwide. This is partially due to the greater availability of cosmetic treatments that are affordable and take a conservative approach. Conservative approaches do not remove healthy tissue or only a minimal amount in the scope of the treatment. Dental whitening is one excellent example of conservative care. It improves the appearance of our smile without impacting the tissue involved.
Understanding The Finer Points of Conservative Cosmetic Care
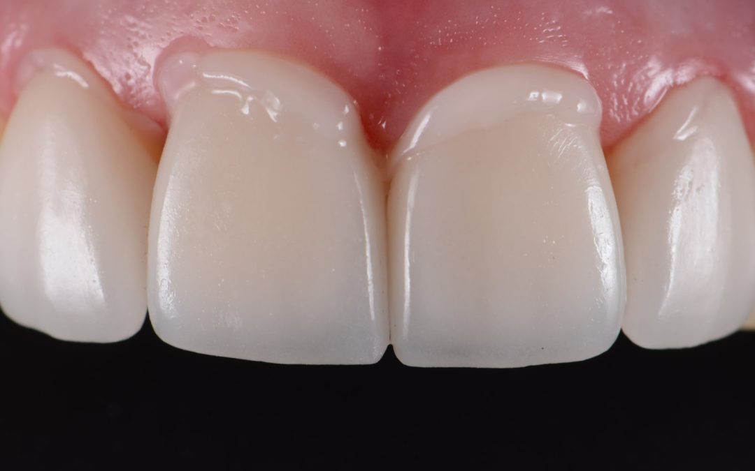
There are three main forms of conservative cosmetic care available today. The most common is dental whitening. Behind this treatment in popularity comes cosmetic bonding and clear aligners. These treatments all share one thing in common. They don’t remove healthy tissue to improve the patient’s smile. Despite this, all three options provide aesthetic benefits to the patient that can have a meaningful impact on their appearance. Retaining healthy tissue is essential to maintaining a smile that will last a lifetime and look great the whole time. Learn more about these three cosmetic options below:
- Dental Whitening – There are two ways to take advantage of dental whitening. The first is to use over-the-counter treatments to address minor discoloration on the teeth. The second is to see your dentist for professional attention that can make a meaningful impact even on severely stained teeth. The core element of both treatments is a peroxide solution applied to the teeth. During a professional treatment, Your dentist will use a more robust solution in combination with a light that ‘activates’ the solution more effectively.
- Clear Aligners – For over a century, the primary method of addressing misaligned teeth was using cumbersome orthodontic appliances. At the same time, most of this care has been achieved through traditional dental braces. These braces use wires and brackets to apply pressure to the teeth to correct misalignment. Clear aligners accomplish this same feat using a transparent plastic tray that adjusts teeth alignment slowly over time. They need only be worn 22 hours a day, meaning you can remove them for eating and hygiene purposes.
- Dental Bonding – This treatment is accomplished using a cosmetic bonding material that your dental provider can use to correct small chips and cracks in the teeth. Your dental provider can also use it to address gaps in the teeth and minor misalignments. One of the best parts of dental bonding is that it can be color-matched to the natural tone of your teeth.
These are the most popular forms of cosmetic dental procedure in use today. Each is conservative in its approach, removing no tissue while improving your smile.
Address Your Dental Provider For Dental treatments
Your dentist remains your primary source of dental information related to any form of oral care. They can help you learn more about the available treatments and how they can improve the appearance of your smile. They can also help you decide which is best for your oral health concerns.
