5 Ways Dental Implants Can Improve Your Oral Health

5 Ways Dental Implants Can Improve Your Oral Health

After extracting one or more teeth, patients must select the replacement option that best meets their needs. Dental implants are a better replacement option than dentures or dental bridges for several reasons. Consider the advantages of using implants to maintain...
How to Get Rid of Dry Socket? 3 Home Remedies That Help

How to Get Rid of Dry Socket? 3 Home Remedies That Help

When a tooth has been removed, a blood clot will form in the open space it leaves. This clot protects the tissues and bone within the space left by the tooth. In some cases, this clot may fail to form or will fall out, resulting in a condition known as a dry socket....
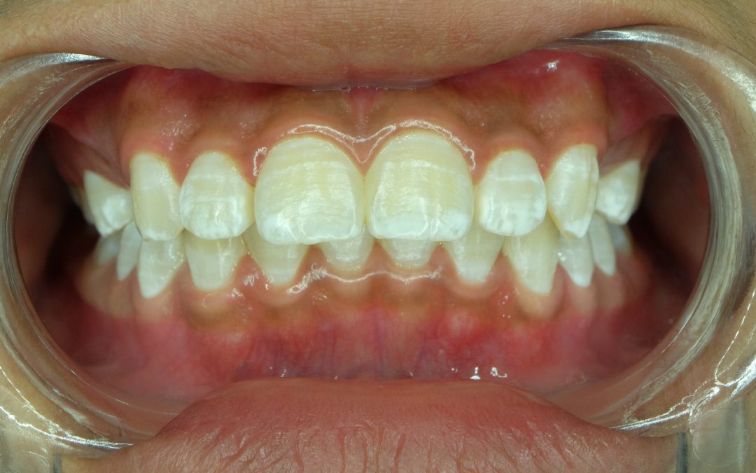
What Distinguishes a Cavity from a Stain?

What Distinguishes a Cavity from a Stain?

Despite the similarity in look between dental stains and cavities, there are essential distinctions between their causes and remedies. To help you distinguish between stains and cavities and pursue the appropriate treatment, the Alvarado Family Dental Center has put...
A Complete Guide To Routine Dental Care

A Complete Guide To Routine Dental Care

Every member of your family benefits when they make a point of following a consistent oral hygiene routine. A complete routine consists of brushing, flossing, and using an anti-bacterial mouthwash to battle tooth decay effectively. However, doing these practices...
What Being Lip-Tied or Tongue-Tied Means For Children

What Being Lip-Tied or Tongue-Tied Means For Children

Parents may become frustrated with kids struggling to move their lips, communicate, or eat. Your kid may be tongue- or lip-tied if they have these issues. A juvenile oral surgeon can, however, effectively manage these problems. We at BlueJay Family Dental in Council...