What Is Smile Dysmorphia And How It Affects Dentistry

What Is Smile Dysmorphia And How It Affects Dentistry

Over the years, people have always had a concern about their self-image. From the Victorians with their eccentric dresses, suits, and makeup to the modern model with a slim form or a modern bodybuilder with a muscular and toned body. With the invention of the...
How To Promote Your Child’s Oral Hygiene Habits

How To Promote Your Child’s Oral Hygiene Habits

As our children develop throughout childhood, we must protect their oral health. Even before their first tooth appears, the healthcare steps we take are influencing their future oral health. After the primary teeth have arrived, optimal adult dental health requires...
What Dentists Watch For That Indicates Oral Cancer

What Dentists Watch For That Indicates Oral Cancer

During every visit to your dental provider, they check for various oral health concerns. They start with the usual suspects, tooth decay and gum disease. From there, they look for a life-threatening condition known as oral cancer. While they typically only mention...
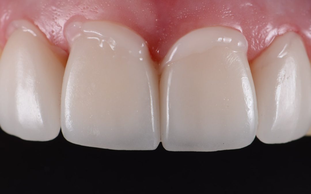
How Cosmetic Dentists Improve Tooth Sizes and Your Smile

How Cosmetic Dentists Improve Tooth Sizes and Your Smile

Cosmetic dentistry plays a role in nearly every aspect of oral health care. This field of dentistry is involved in far more than just improving the appearance of our smiles. Before cosmetic treatments are performed, you must complete an assessment of your oral health....